Цены на услуги

Малоинвазивная моделирующая резекция (ММР) I-го плюснефалангового сустава:
Артродез голеностопного сустава:
Удаление добавочной ладьевидной кости стопы:
Артродез 1 плюснефалангового сустава:
Артродез межфаланговых суставов стоп:
Артродез мелких суставов стопы:
Артродез плюснеклиновидного сустава:
Артродез пяточнокубовидного сустава:
Артродез таранноладьевидного сустава:
Артродез тараннопяточного сустава:
Артродез подтаранного сустава:
Декомпрессия I плюснесесамовидного сустава:
Декомпрессия плюснесесамовидного сустава:
Капсулотомия I плюснефалангового сустава:
Малоинвазивная реконструкция 1 луча:
Малоинвазивная хирургия малых лучей ММР (D2-D5), плюсневых костей ММР(MIS) (D2-D5), молоткообразных пальцев:
Моделирующая резекция I-го плюснефалангового сустава стопы:
Надлодыжечная остеотомия костей голени (одна конечность):
Остеосинтез голеностопного сустава:
Остеосинтез костей предплечья, костей кистевого сустава, плюсневых костей стопы:
Остеотомия основных фаланг пальцев стопы (Акина)
Остеотомия пяточной кости
Артродез подтаранного сустава
Декомпрессия I плюснефалангового сустава:

Многие испытывают трудности при подборе обуви и жалуются на невозможность ношения стандартной, обычной обуви из-за имеющейся "шишки" (или, как ее называют также, "косточки") у основания большого пальца.

Хронические перегрузки переднего отдела стопы из-за ношения обуви на высоком каблуке, избыточного веса, слишком тесная обувь приводят к отклонению первого пальца и головки первой плюсневой кости.

«Шишка» в основании первого пальца стопы – это проявление поперечного плоскостопия, которое в основном встречается у женщин и передается по наследству.

В результате смещения возникает хроническое воспаление сустава, а впоследствии - деформирующий артроз. Головка плюсневой кости увеличивается, покрывается мозолистой, воспаленной кожей. Отклонение первого пальца в сторону приводит к отклонению и деформации остальных. На смену дискомфорту приходит боль, вынуждая отказываться от красивой обуви в пользу просторной и удобной для ходьбы, а иногда просто невозможно подобрать даже такую обувь.

Операция через прокол

Ролик является собственностью Центра косметологии и пластической хирургии.
Нарушение авторских прав карается в соответствии с законом.

Поперечное плоскостопие

Проблему решает только хирургическая операция. В мире известно более 300 видов хирургической коррекции деформации переднего отдела стопы. Наши специалисты заботятся не только о функциональном результате лечения, но и об эстетике. Современная хирургия позволяет выполнить лечение косточки больших пальцев ног щадящим образом с использованием мини-доступа (1 см) или прокола. Пациенты после таких операций восстанавливаются быстрее и обходятся без ношения гипса и использования костылей.

Фото на 2-ой день после операции
Фото

В ходе операции можно не только устранить вальгусную деформацию, но и уменьшить ширину стопы. Коррекции деформации второго-пятого пальцев сегодня выполняется вообще без разрезов – через небольшие проколы.

В клинике после операции остаются на 3-5 дней. В течение шести недель пользуются специальной обувью, в течение трех месяцев после вмешательства носят ортопедические сандалии. Через три месяца можно носить обычную обувь с высотой каблука не более 4-х см. Через шесть месяцев снимаются все ограничения по физическим нагрузкам и ношению обуви.

На весь период лечения выдается больничный лист.

Стоимость всех услуг рассчитывается, исходя из объема вмешательства.

После операции пациент приобретает 3 специальных компрессионных бинта, комплект специальных компрессионных гольф с раздельными пальцами, делает 3 рентгеновских снимка.

В клинику по вопросу лечение вальгусной деформации или косточек на пальцах ног обращаются пациенты не только из Екатеринбурга, но и из других городов - Тюмени, Перми, Челябинска и др.


Историй пациентов, благодарных нашим ортопедам-травматологам, не счесть. И мы продолжаем ими делиться.

У нашей героини с 9–10 лет плоскостопие, с каждым годом состояние только ухудшалось. Начали расти «косточки» (по-научному «халюс вальгус»), было невозможно даже обувь подобрать…Приходилось носить то, что можно было хотя бы надеть…

Второй момент – постоянное внимание к проблеме со стороны окружающих: косые взгляды, бесконечные вопросы, комментарии... Даже закрытая обувь не могла скрыть дефект — слишком серьезная была стадия. Женщина задумалась об операции.

Деформация стоп — врожденное заболевание, передается по наследству, в сложных случаях вызывает боли при ходьбе. Усугубляет ситуацию спорт и неправильная обувь. Пациентке пришлось еще подростком уйти из профессионального спорта - бросить баскетбол. Проблема прогрессировала, боли усиливались. К тому же последние 10 лет женщина работала продавцом и весь день проводила на ногах в модельной обуви.

Сыграли свою роль многочисленные отзывы о Центре: в сети и от знакомых. А доктор просто очаровал, захотелось довериться ему.

Михаил Наумович вспоминает: «К нам обратилась молодая и интересная женщина. Жить да жить, получать удовольствие от жизни… А без ног мы плохо живем. У пациентки была вторая степень деформации, граничащая с третьей. То есть вовлечены все отделы стопы. Проблема мешает ходить — из-за боли формируются натоптыши и молоткообразные пальцы».

Была проведена операция по коррекции вальгусной деформации стопы.

Вмешательство было очень серьёзным — оперировали сразу обе ноги. От наркоза пациентка отошла быстро и без проблем, в клинике провела всего 3 дня. За это время ей особенно запомнилось отношение персонала — на каждую просьбу сотрудники отзывались с готовностью, помогали даже голову помыть. В клинике курировали весь послеоперационный период, сделали несколько перевязок. Врач осматривал стопы и консультировал.

Сейчас женщина с радостью делится планами на будущее: — Наконец-то прекратятся вопросы о моем диагнозе. В целом, думаю, будет легче и жить, и работать. И двигаться, надеюсь, смогу активно. Очень хочу заняться фитнесом и покупать красивую обувь. Никогда не была фанатом шпилек, но хочу иметь возможность их надеть.

Уже около 10 лет в клинике применяется чрезпрокольная, малоинвазивная хирургия. В качестве бонуса пациент получает красивую форму стопы. С гипсом и на костылях ходить не надо. С первого дня пациенты Центра передвигаются в специальной послеоперационной обуви. Через 1,5 месяца можно надеть ортопедические сандалии. А через 6 месяцев обычно снимаются все ограничения.

Пенсионерам предоставляется скидка 10% на операции по коррекции деформации переднего отдела стопы. При обращении в клинику необходимо предъявить пенсионное удостоверение.

ИМЕЮТСЯ ПРОТИВОПОКАЗАНИЯ, НЕОБХОДИМА КОНСУЛЬТАЦИЯ СПЕЦИАЛИСТА

Преимущества

10 000+
Операций каждый год
С 1989 г.
Многопрофильный медицинский центр
170+
Медицинских специалистов
30 000+
Довольных пациентов

Записаться на консультацию

Оставьте заявку, мы подберем удобное для вас время записи, ответим на все вопросы
Нажимая на кнопку, вы даете согласие на обработку персональных данных
Х

ВАШЕ СООБЩЕНИЕ УСПЕШНО ОТПРАВЛЕНО

Ваше резюме отправлено. Спасибо!
Мы свяжемся с Вами в ближайшее время.

Фото до и после

Коррекция молоткообразных пальцев

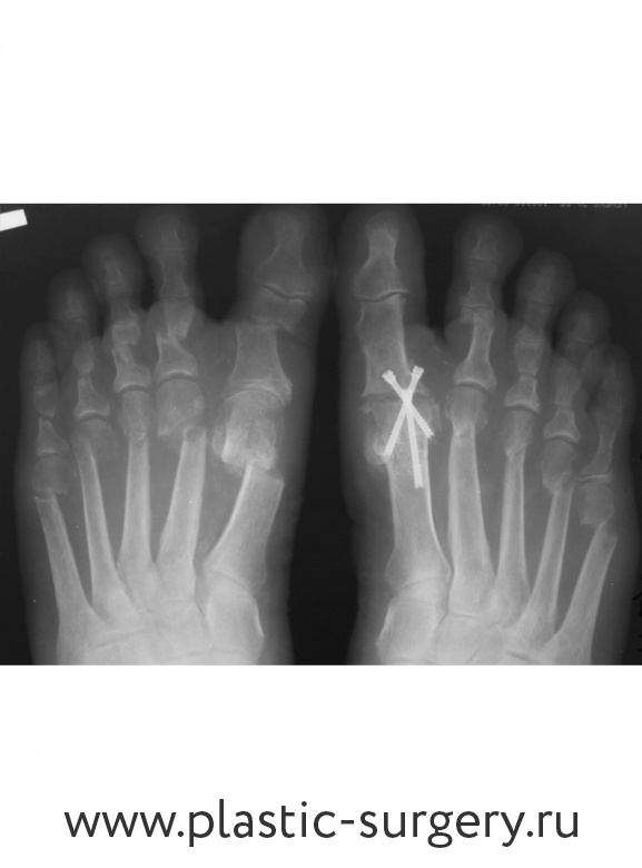
Поперечное плоскостопие III степени, вальгус 1-го пальца стопы, молоткообразная деформация 2-5-го пальца, варусная деформация 5-го пальца. Лечение: малоинвазивная реконструкция переднего отдела обеих стоп. Фото - через 6 мес. после операции.

Поперечное плоскостопие III степени, вальгус 1-го пальца стопы, варусная деформация 5-го пальца, молоткообразная деформация 2-5-го пальца. Лечение: малоинвазивная реконструкция переднего отдела обеих стоп.

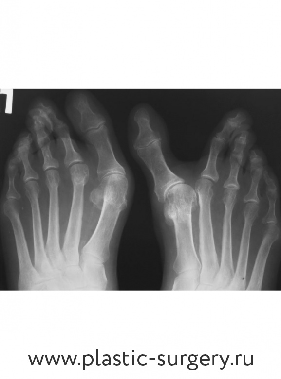
Ревматоидный артрит, поперечное плоскостопие IV степени. Лечение: малоинвазивная реконструкция переднего отдела обеих стоп. Фото - через 6 мес. после операции.

Поперечное плоскостопие. Лечение: Реконструкция стопы. Результат - через 1,5 года после операции.

Поперечное плоскостопие. Лечение: Реконструкция стопы. Результат - через 7 месяцев после операции. Стопы фитнес-тренера

Посттравматическая эквино-поло-варусная деформация правой стопы. Лечение - чрезпрокольная двухэтапная реконструкция стопы.

Поперечное плоскостопие. Лечение: реконструкция стопы. Результат - через 3 месяца после операции.

Поперечное плоскостопие. Лечение: Реконструкция стопы. Результат - через 3 месяца после операции.

Поперечное плоскостопие. Лечение: Реконструкция стопы. Результат - через 6 месяцев после операции.

Поперечное плоскостопие. Лечение: Реконструкция стопы. Результат - через 6 месяцев после операции.

Поперечное плоскостопие. Лечение: реконструкция стопы. Результат - через 3 месяца после операции.

Двухстороннее поперечное плоскостопие (мужская стопа, спортсмен). Лечение: тотальная малоинвазивная реконструкция переднего отдела стоп. Фото - через 3 месяца после операции.

Двухстороннее поперечное плоскостопие (мужская стопа, 46 размер). Лечение: тотальная малоинвазивная реконструкция переднего отдела стоп. Фото - через 6 месяцев после операции.

Исправление результатов операций в др. клиниках. Варусная деф-я переднего отдела левой стопы (1-5-ый луч). Лечение: шевронная (открытая) остеотомия первой плюсневой кости, остеотомия Акина основной фаланги 1-го пальца, малоинвазив. реконструкция 2-5 лучей

Исправление результата операции, сделанной в другой клинике. Поперечное плоскостопие.

Исправление результата операции, сделанной в другой клинике.